
يتم وضع صغار الشمبانزي في عبوات صغيرة لتقليل التعرض لمرض مميت في محمية تاكوجاما الشمبانزي في سيراليون.
صُدم عالم بيئة الأمراض توني غولدبرغ في عام 2016 عندما علم أن عدوى غامضة كانت تقتل بسرعة الشمبانزي في محمية خصبة في الغابات المطيرة في سيراليون. يتذكر غولدبرغ من جامعة ويسكونسن ماديسون: "لم يكن الأمر خفيًا - فالشمبانزي كان يترنح ويتعثر ويتقيأ ويصاب بالإسهال". "في بعض الأحيان للنوم بصحة جيدة ويموتون في الصباح."
حتى عندما أعطى الأطباء البيطريون المضادات الحيوية والسوائل للشمبانزي المريضة ، ولفوها في بطانيات دافئة ، وعزلوها في عبوات أصغر في محاولة لمنع انتشار العدوى ، ماتت . لقي 53 منهم على الأقل حتفهم في محمية تاكوجاما شمبانزي بين عامي 2005 و 2018.
المحمية هو موطن لما يقرب من 100 شمبانزي تم إنقاذهم من التجارة غير المشروعة أو الصيد أو التخلي عنهم كحيوانات أليفة. يقول عالم الأحياء جريج تولي ، المدير التنفيذي لتحالف Pan African Sanctuary Alliance: "لقد كان الأمر مزعجًا حقًا للموظفين لأنه لم تكن هناك نهاية تلوح في الأفق". سعى للحصول على مساعدة غولدبرغ لتحديد المرض ، وهو مرض قاتل بنسبة 100٪.
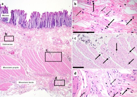
الآن ، بعد دراسة عينات الأنسجة والحمض النووي من الشمبانزي في الملجأ ، حدد غولدبرغ وزملاؤه الجاني المحتمل. في Nature Communications ، أفيد أن نوعًا جديدًا من البكتيريا على شكل البرسيم أصاب عينات الأنسجة من 13 شمبانزي ميت ، ولكن ليس عينات من 14 شمبانزي سليم.
لم يصاب مرض الجهاز الهضمي والعصبي الغامض الأطباء البيطريين أو البشر الآخرين. أقرب قريب له هو Sarcina ventriculi ، ومع ذلك ، فهو سبب نادر لأمراض الجهاز الهضمي التي تصيب الناس ، وكذلك الماشية والقطط والخيول. على الرغم من أن الباحثين قلقون بشأن أي مرض جديد قد ينتقل بين القردة والبشر ، فإن قلقهم الأكبر هو أنه سينتشر إلى الشمبانزي في ملاذات أخرى وفي البرية. تقول عالمة الأوبئة البيطرية شارون ديم من حديقة حيوان سانت لويس ، وهي ليست جزءًا من الفريق: "دائمًا ما تكون الحياة البرية في المحميات أكثر عرضة لمسببات الأمراض التي تنتقل عن طريق الجو".
جاءت الاستراحة الكبيرة في عام 2018 ، عندما اكتشفت طالبة الدراسات العليا لجولدبرغ ، ليا أوينز ، بكتيريا غريبة المظهر في أنسجة دماغ أحد الشمبانزي المتوفى. تتذكر قائلة: "في وقت متأخر من الليل ، كنت أنظر من خلال المجهر ورأيت هذا الهيكل المكعب ذو المظهر الغريب حقًا". قضى الفريق عدة سنوات في فحص الأنسجة والبراز وعينات الدم من قرود الشمبانزي المأوى بحثًا عن مسببات الأمراض. أدركت أوينز أن البكتيريا الموجودة على شريحتها تشبه Sarcina على شكل برسيم ، وهو اكتشاف أكده علماء الأمراض.
قام الباحثون بعد ذلك بتسلسل الجينوم المأخوذ من البكتيريا الموجودة في العينة ، ووجدوا أنه أقرب ما يكون إلى Sarcina ventriculi. ومع ذلك ، فقد كان مميزًا بدرجة كافية لتصنيفه كنوع جديد ، والذي اقترح تسميته Sarcina troglodytae .
تظهر دراسات أخرى للحمض النووي من الأنواع الجديدة من البكتيريا أن لديها جينات تجعلها أكثر ضراوة من Sarcina ventriculi. يتساءل الفريق أيضًا عما إذا كانت الحالات في الأنواع الحيوانية الأخرى التي تم تصنيفها على أنها Sarcina ventriculi تنتمي إلى هذا النوع الجديد - أو أنواع أخرى غير معروفة من Sarcina.
تتقدم أوينز للحصول على منح لمحاولة تحديد مصدر البكتيريا عن طريق اختبار عينات من الماء والهواء والغذاء والنباتات التي جمعتها هي وغولدبرغ في المحمية في عام 2019. أحد الاحتمالات هو أن البكتيريا موجودة في كل مكان ، ولكنها شيء ما في البيئة في الملجأ أو في فسيولوجيا القردة تسبب المرض. تحدث معظم الحالات كل شهر آذار خلال الموسم الحار والجاف ، عندما يتم تزويد الحيوانات بالمزيد من الطعام.
يستخدم الأطباء البيطريون في محمية تاكوجاما بالفعل النتائج الجديدة: إنهم يعالجون قردًا مريضًا بمضادات الحموضة ومضادات الاختلاج والمضادات الحيوية - على غرار العلاج عند البشر - على أمل إنقاذ حياته. في غضون ذلك ، يأمل باحثون آخرون في اختبار الشمبانزي في ملاذات أخرى للعدوى أيضًا.
المصدر