
توصلت دراسة إلى أن أداء المهام المعرفية المعقدة يؤدي إلى تراكم الغلوتامات في منطقة رئيسية من الدماغ ، وهو ما قد يفسر سبب إرهاق العمل العقلي.
قد ينشأ التعب الناتج عن أداء المهام العقلية الصعبة من تراكم الناقل العصبي الغلوتامات ، وفقًا لبحث نُشر في 11 أغسطس في Current Biology.
يبدو أيضًا أن التعب العقلي يحول عملية صنع القرار نحو نوع من وضع الزر السهل حيث يفضل الدماغ خيارات منخفضة التكلفة ومكافأة فورية ، كما يقول أنطونيوس ويهلر ، وهو مؤلف مشارك في الدراسة وعالم أعصاب معرفي في معهد باريس للدماغ والتحفيز والدماغ. "لذلك ، بعد يوم من العمل ، تتخذ خيارات مختلفة مقارنة بالوقت الذي تكون فيه منتعشًا في الصباح" ، كما يقول. "نعتقد أن هذا يحدث بسبب تراكم الغلوتامات."
يقول ماثيو تطبيقات ، عالم الأعصاب الإدراكي بجامعة برمنجهام في المملكة المتحدة والذي لم يشارك في البحث ولكنه راجع الورقة البحثية للمجلة ، إن البحث قد حدد علامة محتملة للإرهاق للدراسة على نطاق أوسع في الرياضيين أو في الأشخاص الذين يعانون من اضطرابات مثل التهاب الدماغ والنخاع العضلي / متلازمة التعب المزمن (ME / CFS). "أعتقد أنها خطوة أولى رائعة حقًا ، وأعتقد أنها ستفتح الكثير من مجالات العمل الجديدة."
افترضت النظريات السابقة أن التعب الذي يعاني منه الناس من المجهود العقلي ينبع من استنفاد احتياطيات الطاقة. كتب مؤلفو الدراسة أن البحث لم يؤكد ذلك. بدلاً من ذلك ، افترض ويهلر وزملاؤه أن شيئًا ما كان يتراكم في الدماغ ، لذلك بحثوا عن دليل على ذلك في منطقة تساعد في تنظيم التحكم المعرفي: قشرة الفص الجبهي الأيسر.
توضح التطبيقات أنه بالإضافة إلى مساعدتنا في القيام بمهام معقدة مثل حل أحجية سودوكو أو لعب الشطرنج أو تصميم تجربة ، فإن القشرة الجانبية اليسرى تساعد في التحكم في العمليات المطلوبة لتذكر المعلومات ومعالجتها لحل تلك المشكلات. "إنه أيضًا جزء من النظام الذي يقول ،" حسنًا ، في الواقع ، ربما لا أريد أن ألعب الشطرنج. أرغب في مشاهدة فيلم والقيام بشيء أكثر بساطة ".
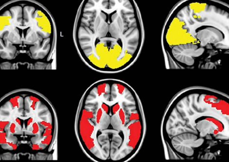
في تحليلهم ، قام الباحثون وراء الدراسة الجديدة بتقييم مجموعتين من الأشخاص على مدى ست ساعات ونصف: قامت مجموعة واحدة من 24 شخصًا بأداء مهام معرفية صعبة تتغير كثيرًا ، بينما قامت المجموعة الأخرى المكونة من 16 شخصًا بأداء مهام سهلة نادراً ما تتغير. في عدة نقاط خلال التدريبات المعرفية ، أجرى الباحثون مسحًا ضوئيًا لقشرة الفص الجبهي الأيسر الجانبي للمشاركين باستخدام التحليل الطيفي بالرنين المغناطيسي ، والذي يكتشف التغيرات الكيميائية الحيوية في الدماغ ويستخدم بشكل شائع لتشخيص الأورام. كشفت عمليات المسح أن مجموعة المهام الصعبة لديها مستويات أعلى من الناقل العصبي الغلوتامات في تلك المنطقة من الدماغ في نهاية اليوم مقارنة بمجموعة المهام السهلة.
أوضحت هذه النتيجة للباحثين أن الإرهاق العقلي يمكن أن يكون نتيجة لانتشار الجلوتامات من الخلايا العصبية وبناء هذه المنطقة من الدماغ ، وربما يتسبب في عملها بكفاءة أقل. "الشيء الأكثر إثارة للدهشة بالنسبة لنا هو أننا نرى تركيز الغلوتامات انخفاض في المجموعة السهلة "، كما يقول ويهلر ، مشيرًا إلى أن الدماغ قد يقوم بإزالة الجزيء بعيدًا لإنعاش العقل عندما يكون أقل ضرائب ، كما لو كان الناقل العصبي يعمل كمنتج نفايات.
قيمت الدراسة أيضًا كيف تغيرت عملية صنع القرار لدى المشاركين على مدار اليوم من خلال مطالبة الأشخاص في كلا المجموعتين باتخاذ خيارات اقتصادية بشكل دوري. على سبيل المثال ، كان على المشاركين الاختيار بين سيناريوهات مثل ركوب الدراجة بكثافة عالية لجزء كبير من التغيير أو بكثافة منخفضة مقابل أموال أقل بكثير. أو كان عليهم اختيار تلقي مبلغ كبير في غضون عام أو مبلغ أقل على الفور. يقول ويهلر: "النظرية التي لدينا وراء دراستنا هي أن الدماغ يقوم بشكل من أشكال مقايضة التكلفة والفوائد عندما يتعلق الأمر بالموارد ، وبالتالي عندما يتعلق الأمر بالتعب". تدعم النتائج هذه الفكرة ، حيث يختار الأشخاص في المجموعة الصعبة الخيارات الأقل تكلفة والأقل جهدًا في نهاية اليوم.
يصف جلين ويلي ، عالم الأعصاب في مؤسسة كيسلر غير الربحية في نيوجيرسي والذي لم يشارك في البحث ، التجربة بأنها أنيقة. "لقد أرهقوا هؤلاء الناس من خلال جعلهم يؤدون المهام لمدة ست ساعات ونصف. هذا أمر هائل "، كما يقول ، مضيفًا أن جزءًا مثيرًا للاهتمام بشكل خاص من البحث كان تقييم التغييرات في صنع القرار الاقتصادي للمشاركين.
ومع ذلك ، يشير إلى أنه عندما قام المشاركون بتقييم مستويات التعب الخاصة بهم ، أبلغت كلتا المجموعتين عن مستويات مماثلة زادت على مدار اليوم. يقول: "هذا نوع من الإشكالية ، لأنك تتوقع أن تؤدي المهام الصعبة إلى إجهاد الأشخاص أكثر وأن تؤدي المهام السهلة إلى إجهاد أقل للأشخاص". في حين أن الإبلاغ الذاتي قد يكون غير موثوق به ، إلا أنه يقول إنه كان من الخطأ بالنسبة للباحثين تجاهل شعور المشاركين: "ربما يتعب كلاهما حقًا ، ولكن لأسباب مختلفة".
يعتقد ويلي أن المجموعة السهلة ربما كانت متعبة عقليًا من الملل. "إذا كنت ستقضي كل يومك في تنسيق المستندات على سبيل المثال ، فإنك في النهاية مستنزف ، ولكن ليس لأنك كنت تنفق طاقة إبداعية. هذا لأنك كنت تقوم بهذه المهمة المتكررة والمملة ".
توافق التطبيقات على أن الملل أو الإحباط قد يكون قد أثر على كيفية تقييم المشاركين لمستويات التعب الخاصة بهم. يقول: "أعتقد أنه ربما كان سيعزز الورقة بشكل طفيف إذا اكتشفوا أن مشاعر التعب هذه مرتبطة حقًا بقوة" ، مضيفًا أنه ليس من المستغرب أن الباحثين لم يفعلوا ذلك لأن تلك القياسات الذاتية يمكن أن تكون صاخبة. يقول إن التجارب المستقبلية مع المزيد من الموضوعات يمكن أن تعوض عن ذلك.
يشير ويلي أيضًا إلى أنه إذا أعاق الغلوتامات التحكم المعرفي بشكل كبير ، فمن المتوقع أن ينخفض أداء هؤلاء المشاركين الذين لديهم تركيزات أعلى منه ، وهو ما لم يحدث. يقول: "لا أعرف ما إذا كان الغلوتامات مرتبطًا بالإرهاق بشكل عام ، أو ما إذا كان له علاقة بهذه المهام المعينة" ، ويقترح أنه قد تكون هناك مناطق أخرى في الدماغ أو مستقلبات تلعب دورًا في التعب.
بغض النظر عن وجهة نظره حول قيود البحث ، يقول ويلي إن مثل هذه الدراسات لها آثار مهمة على الأشخاص الذين يعانون من إصابات الدماغ الرضحية ، و ME / CFS ، والتصلب المتعدد ، والحالات الأخرى التي تجعل الدماغ يعمل بجدية أكبر. يقول أن هذا البحث "بالتأكيد يدفع إلى الأمام".
المصدر: